El Bileği Burkulması Belirtileri ve Tedavisi
El bileği burkulması, aşırı zorlanma sonucu ortaya çıkan yaygın bir yaralanmadır. Spor aktiviteleri sırasında veya düşme gibi durumlarla sıkça karşılaşılır. Bu yazıda burkulmanın belirtileri, tanı yöntemleri ve tedavi seçenekleri hakkında bilgi verilecektir.
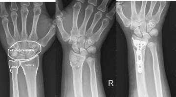
El bileği burkulması, el bileği ekleminin aşırı zorlanması sonucunda meydana gelen bir yaralanmadır. Bu yaralanma genellikle spor aktiviteleri sırasında, düşme veya yanlış hareket etme gibi durumlarda ortaya çıkar. El bileği, vücudun en hareketli eklemlerinden biri olup, çeşitli yaralanmalara maruz kalabilir. Bu makalede, el bileği burkulmasının belirtileri, tanı yöntemleri ve tedavi seçenekleri ele alınacaktır. El Bileği Burkulmasının BelirtileriEl bileği burkulmasının belirtileri, yaralanmanın şiddetine göre değişiklik gösterebilir. Genel olarak aşağıdaki semptomlar görülmektedir:
Tanı YöntemleriEl bileği burkulmasının teşhisi genellikle fizik muayene ve görüntüleme yöntemleriyle yapılır. Doktor, aşağıdaki yöntemleri kullanarak tanıyı koyabilir:
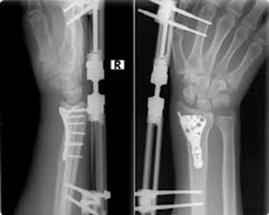
Tedavi YöntemleriEl bileği burkulmasının tedavisi, yaralanmanın şiddetine bağlı olarak değişiklik göstermektedir. Tedavi yöntemleri genellikle aşağıdaki gibidir:
İyileşme SüreciEl bileği burkulması sonrası iyileşme süreci, yaralanmanın ciddiyetine ve uygulanan tedavi yöntemlerine bağlı olarak değişir. Genellikle hafif burkulmalar birkaç gün içinde iyileşirken, daha ciddi yaralanmaların tamamen iyileşmesi haftalar alabilir. Bu süreçte hasta, doktorun önerilerine uymalı ve bileğini fazla zorlamamalıdır. SonuçEl bileği burkulması, günlük yaşamı etkileyen yaygın bir yaralanmadır. Belirtilerinin farkında olmak ve tedavi yöntemlerine başvurmak, iyileşme sürecini hızlandırabilir. Bu yaralanmadan kaçınmak için spor yaparken uygun tekniklerin kullanılması ve koruyucu ekipmanların giyilmesi önerilmektedir. Eğer belirtiler uzun süre devam ederse veya ağrı dayanılmaz hale gelirse, mutlaka bir sağlık profesyoneline başvurulmalıdır. |





.webp)
.webp)



.webp)
.webp)




















.webp)











.webp)
.webp)

El bileği burkulması yaşadım ve belirtilerini merak ediyorum. Özellikle kızarma, ağrı, şişme ve bölgede sıcaklık artışı gibi durumlar benim için önemli. Bu belirtiler ne kadar süreyle devam eder ve ne zaman doktora başvurmalıyım? El bileği burkulması belirtileriyle ilgili daha fazla bilgi verebilir misiniz?
El Bileği Burkulması Belirtileri
El bileği burkulması, genellikle bağ dokularının zorlanması veya yırtılması sonucu oluşur ve belirtileri kişiden kişiye değişiklik gösterebilir. Kızarma, ağrı, şişme ve bölgedeki sıcaklık artışı en yaygın belirtilerdir. Bu belirtiler genellikle burkulmanın şiddetine bağlı olarak birkaç gün ile birkaç hafta arasında sürebilir.
Belirtilerin Süresi
Eğer burkulma hafifse, belirtiler birkaç gün içinde azalarak geçebilir. Ancak, orta veya şiddetli burkulmalarda belirtiler daha uzun sürebilir. Şişlik ve ağrı genellikle ilk 48 saat içinde en yoğun seviyede olur ve zamanla azalır. Yine de, eğer belirtiler 1-2 hafta içinde geçmezse, bu bir sağlık sorununun işareti olabilir.
Doktora Ne Zaman Başvurmalısınız?
Ağrınız şiddetliyse, günlük aktivitelerinizi etkiliyorsa veya el bileğinizin işlevselliğinde belirgin bir azalma varsa, bir doktora başvurmanız önemlidir. Ayrıca, eğer burkulma sonrası el bileğinizde aşırı şişlik, morarma veya hareket kısıtlılığı gibi durumlar söz konusuysa, bir sağlık profesyoneline görünmekte fayda vardır.
Unutmayın, bu bilgiler genel bir rehber niteliğindedir ve kesin bir teşhis için mutlaka bir doktora danışmalısınız. Geçmiş olsun!
El bileği burkulması yaşadığınızda, belirtilerinin ne kadar rahatsız edici olduğunu biliyorum. Kızarma, ağrı, şişme ve bölgede sıcaklık artışı gibi durumlar gerçekten can sıkıcı olabiliyor. Acaba bu belirtilerle başa çıkmak için uyguladığınız yöntemler neler? Buz tedavisinin etkili olduğunu duydum, siz de denediniz mi? Ayrıca, burkulmanın iyileşme sürecinin uzun sürmesi, sabırlı olmamızı gerektiriyor. Bu süreçte yumuşak masaj yapmak iyi bir fikir mi sizce?
Merhaba İncilâ!
El bileği burkulması oldukça rahatsız edici bir durum. Belirttiğin belirtiler gerçekten de günlük hayatı zorlaştırabilir. Bu tür durumlarda, öncelikle dinlenmek ve etkilenen bölgeyi zorlamamak çok önemli. Buz Tedavisi'ni kesinlikle denemek faydalı olabilir; bu, şişmeyi azaltmaya ve ağrıyı hafifletmeye yardımcı olabilir. Genellikle, ilk 48 saat içinde buz uygulamak en etkili sonuçları verir.
Masaj Uygulamak konusunda ise, eğer şişlik çok fazla değilse ve doktorun onayını aldıysan, yumuşak masaj yapmak kan akışını artırarak iyileşmeyi hızlandırabilir. Ancak, aşırıya kaçmamak ve bölgeyi daha fazla zorlamamak gerekir. Bu süreçte sabırlı olmak gerçekten önemli; her bireyin iyileşme süreci farklılık gösterebilir. Kendine iyi bakmayı unutma!